Contacto

×
  • +54 343 4178845

  • bcuadra@examedia.com.ar

  • Entre Ríos, Argentina

  • Seis entrerrianos bajo control epidemiológico tras viajar con un caso positivo de sarampión en el micro Retiro–Federación

    Concordia » 7paginas

    Fecha: 28/11/2025 16:45

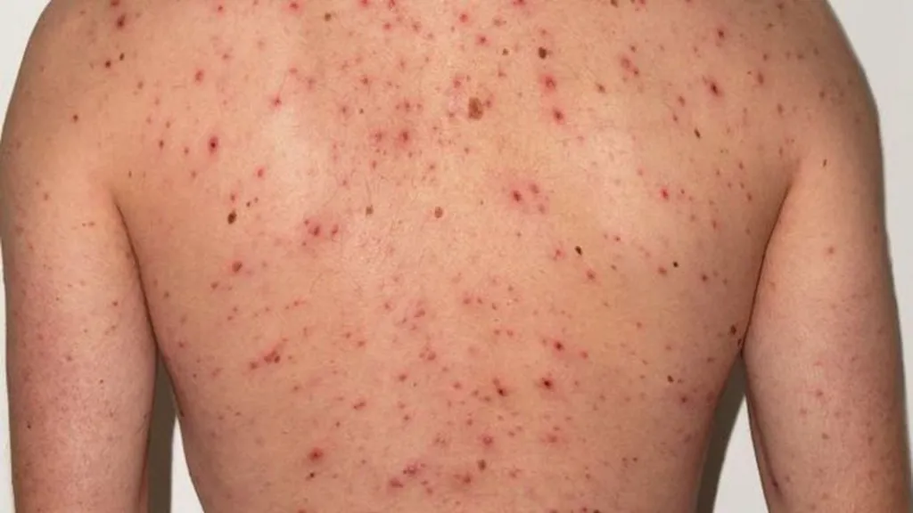
    Los entrerrianos descendieron en Gualeguaychú del vehículo de la empresa San José S.R.L., que había partido desde Retiro a las 21:16 rumbo a Federación. La confirmación del caso positivo motivó la inmediata identificación de los contactos estrechos y el inicio de su monitoreo. Seguimiento estricto y medidas de precaución El área de Epidemiología provincial mantiene un control diario de cada una de estas personas. En uno de los domicilios, personal de salud debió intervenir utilizando equipos de protección, dada la elevada contagiosidad del virus, considerado uno de los más transmisibles después del Covid-19. Paralelamente, continúan las tareas para ubicar a todos los pasajeros que viajaron el sábado 15 de noviembre, dado que el micro realizó paradas en Buenos Aires, Gualeguaychú, Concepción del Uruguay, Colón, Concordia y Federación, ampliando el espectro de posibles contactos. El origen de la alerta La investigación epidemiológica se inició luego de que cuatro ciudadanos uruguayos, que habían regresado desde Bolivia y viajado desde la terminal de Retiro, fueran diagnosticados con sarampión al arribar a su país. Ese dato activó la búsqueda de todas las personas que compartieron el trayecto, incluyendo a los pasajeros entrerrianos. Síntomas y recomendaciones El sarampión genera fiebre, erupciones cutáneas, irritación ocular, secreción nasal y tos. En menores de cinco años puede desencadenar complicaciones graves como encefalitis, meningoencefalitis, ceguera e incluso la muerte. Frente al aumento de casos en la región, las autoridades sanitarias insistieron en la importancia de mantener el calendario de vacunación completo, la herramienta más eficaz para evitar contagios y cuadros severos. El seguimiento continuará hasta completar el período de observación estipulado por los protocolos nacionales.

    Ver noticia original

    También te puede interesar

  • Examedia © 2024

    Desarrollado por